Nếu bạn hoặc người thân không may được chẩn đoán mắc ung thư xương, bài viết này là dành cho bạn. Hãy cùng tìm hiểu xem ung thư xương sống được bao lâu và các lựa chọn điều trị thích hợp để bạn có thể hướng tới một tương lai tươi sáng phía trước.
Ung thư xương là gì?
Ung thư xương có thể xảy ra ở bất kỳ xương nào trong cơ thể, nhưng nó thường xuất hiện nhiều nhất ở xương chậu hoặc xương dài ở cánh tay và chân.
Ung thư xương rất hiếm gặp, chiếm ít hơn 1% trong tất cả các loại ung thư. Trên thực tế, các khối u xương không phải ung thư phổ biến hơn nhiều so với các khối u ung thư.
Thuật ngữ 'ung thư xương' không bao gồm ung thư bắt đầu ở nơi khác trong cơ thể và lây lan (di căn) đến xương. Thay vào đó, chúng được đặt tên theo nơi chúng xuất hiện đầu tiên, chẳng hạn như ung thư vú đã di căn vào xương.
Một số loại ung thư xương xảy ra chủ yếu ở trẻ em, trong khi những loại khác chủ yếu ảnh hưởng đến người lớn. Phẫu thuật cắt bỏ là phương pháp điều trị phổ biến nhất, nhưng hóa trị và xạ trị cũng có thể được sử dụng. Quyết định lựa chọn phẫu thuật, hóa trị hoặc xạ trị là dựa trên loại ung thư xương đang được điều trị.
1 Các loại ung thư xương
Ung thư xương bao gồm nguyên phát và thứ phát. Ung thư xương nguyên phát bắt đầu từ các tế bào của xương. Loại này nguy hiểm hơn ung thư xương thứ phát vì nó hình thành từ trong xương và ung thư thường lan sang các mô mềm gần đó.
Trong khi ung thư xương thứ phát, còn được gọi là di căn, bắt đầu ở đâu đó trong cơ thể bệnh nhân và sau đó các tế bào ung thư lan vào xương. Ví dụ, nếu bạn bị ung thư tuyến tiền liệt và nó di căn đến xương, thì bệnh ung thư xương của bạn được hình thành từ các tế bào ung thư tuyến tiền liệt.
Ung thư xương nguyên phát thường gặp 4 loại dưới đây:
Sarcoma xương (Osteosarcoma)
Sarcoma xương là một loại ung thư xương xuất hiện trong các tế bào hình thành xương. Sarcoma xương thường được tìm thấy ở các xương dài, phổ biến nhất là ở chân, ít gặp hơn là ở cánh tay hoặc ở bất kỳ xương nào trong cơ thể. Trong những trường hợp rất hiếm, nó xảy ra ở cả mô mềm bên ngoài xương.
Độ tuổi thường gặp: Sarcoma xương thường có xu hướng xảy ra ở thanh thiếu niên, nhưng nó cũng có thể xảy ra ở trẻ nhỏ và người lớn tuổi.

Sarcoma xương là một loại ung thư xương xuất hiện trong các tế bào hình thành xương
Sarcoma sụn (Chondrosarcoma)
Sarcoma sụn là bệnh ung thư trong đó các tế bào ung thư có nguồn gốc từ tế bào biến đổi tạo ra sụn. Sarcoma sụn là một loại thuộc nhóm các bệnh u xương và mô mềm được gọi là sarcoma.
Độ tuổi thường gặp: Chondrosarcoma thường xảy ra ở xương chậu, chân hoặc cánh tay ở những người thuộc độ tuổi trung niên trở lên.

Các tế bào ung thư Sarcoma sụn có nguồn gốc từ tế bào biến đổi tạo ra sụn
U nguyên sống (Chordoma)
U nguyên sống là bệnh lý ác tính hiếm gặp, tiến triển chậm, phát triển từ phần tồn dư của dây sống, vì vậy u có thể gặp ở mọi vị trí của trục xương sống mà phần lớn là ở 2 đầu: mặt dốc xương đá (clivus) và xương cùng (sacrum).
Độ tuổi thường gặp: U nguyên sống thường xuất hiện ở nam giới độ tuổi 40 - 60.

U nguyên sống là bệnh lý ác tính hiếm gặp và thường tiến triển chậm
Sarcoma Ewing (Ewing Sarcoma)
Ewing Sarcoma là một loại ung thư xương thường ảnh hưởng đến trẻ em và thanh niên nhiều hơn là bệnh nhân lớn tuổi. Ewing Sarcoma thường được tìm thấy trong xương dài. Tuy nhiên, nó có thể phát triển ở bất kỳ xương nào trong cơ thể. Các triệu chứng của Ewing Sarcoma bao gồm sốt, đau và sưng tấy.

Ewing Sarcoma thường ảnh hưởng đến trẻ em và thanh niên nhiều hơn là người lớn tuổi
2 Thời gian sống khi mắc Sarcoma xương (Osteosarcoma)
Tỷ lệ sống sót tương đối cung cấp tỷ lệ phần trăm những người còn sống trong một khoảng thời gian sau khi chẩn đoán một loại ung thư cụ thể, điều này thường là sau 5 năm.
Ví dụ: Tỷ lệ sống sót tương đối sau điều trị một loại ung thư cụ thể trong vòng 5 năm là 77%. Có nghĩa là, cứ mỗi 100 người mắc căn bệnh này thì sẽ có 77 người sẽ sống sót sau thời gian chẩn đoán 5 năm. Đồng nghĩa với việc đã có 23 người chết vì tình trạng ung thư này trong vòng 5 năm sau khi được chẩn đoán mắc bệnh.
Những tỷ lệ phần trăm này chỉ là tiên lượng, do đó để dự đoán trường hợp của từng cá nhân là điều không thể.
Vấn đề thứ hai mà bạn cần quan tâm đó là các giai đoạn của bệnh ung thư xương. Cơ sở dữ liệu SEER , mà Hiệp hội Ung thư Hoa Kỳ dựa vào để lấy thông tin, không phân loại các giai đoạn ung thư bằng hệ thống TNM (Giai đoạn I – IV). Thay vào đó, họ phân ra thành 3 giai đoạn bao gồm:
- Giai đoạn tại chỗ: Không có dấu hiệu cho thấy ung thư đã lan ra ngoài xương nơi nó bắt đầu.
- Giai đoạn xâm lấn, di căn hạch vùng: Ung thư đã phát triển bên ngoài xương và xâm nhập vào xương gần đó hoặc các cấu trúc khác, hoặc nó đã lan đến các hạch bạch huyết gần đó.
- Giai đoạn di căn xa: Ung thư đã lan đến các bộ phận xa nơi khởi phát, chẳng hạn như phổi hoặc xương ở các bộ phận khác của cơ thể.
Giai đoạn SEER và tỷ lệ sống sót tương đối sau 5 năm đối với Sarcoma xương:
- Giai đoạn tại chỗ: Tỷ lệ sống sót sau 5 năm là 77%.
- Giai đoạn xâm lấn, di căn hạch vùng: Tỷ lệ sống sót sau 5 năm là 64%.
- Giai đoạn di căn xa: Tỷ lệ sống sót sau 5 năm là 27%.
- Đối với tất cả các giai đoạn kết hợp: Tỷ lệ sống sót sau 5 năm là 60%.

Thời gian sống khi mắc Sarcoma xương phụ thuộc vào giai đoạn của bệnh
3 Thời gian sống khi mắc ung thư sụn (Chondrosarcoma)
Giai đoạn SEER và tỷ lệ sống sót tương đối sau 5 năm đối với Sarcoma sụn:
- Giai đoạn tại chỗ: Tỷ lệ sống sót sau 5 năm là 91%.
- Giai đoạn xâm lấn, di căn hạch vùng: Tỷ lệ sống sót sau 5 năm là 75%.
- Giai đoạn di căn xa: Tỷ lệ sống sót sau 5 năm là 22%.
- Đối với tất cả các giai đoạn kết hợp: Tỷ lệ sống sót sau 5 năm là 78%.

Thời gian sống khi mắc ung thư sụn phụ thuộc vào giai đoạn của bệnh
4 Thời gian sống khi mắc u nguyên sống (Chordoma)
Giai đoạn SEER và tỷ lệ sống sót tương đối sau 5 năm đối với U nguyên sống:
- Giai đoạn tại chỗ: Tỷ lệ sống sót sau 5 năm là 87%.
- Giai đoạn xâm lấn, di căn hạch vùng: Tỷ lệ sống sót sau 5 năm là 83%.
- Giai đoạn di căn xa: Tỷ lệ sống sót sau 5 năm là 55%.
- Đối với tất cả các giai đoạn kết hợp: Tỷ lệ sống sót sau 5 năm là 82%.

Thời gian sống khi mắc u nguyên sống phụ thuộc vào giai đoạn của bệnh
5 Thời gian sống khi mắc Sarcoma Ewing
Giai đoạn SEER và tỷ lệ sống sót tương đối sau 5 năm đối với Sarcoma Ewing:
- Giai đoạn tại chỗ: Tỷ lệ sống sót sau 5 năm là 82%.
- Giai đoạn xâm lấn, di căn hạch vùng: Tỷ lệ sống sót sau 5 năm là 71%.
- Giai đoạn di căn xa: Tỷ lệ sống sót sau 5 năm là 39%.
- Đối với tất cả các giai đoạn kết hợp: Tỷ lệ sống sót sau 5 năm là 63%.

Thời gian sống ở bệnh nhân mắc Sarcoma Ewing phụ thuộc vào giai đoạn bệnh
6 Những yếu tố tác động đến thời gian sống của bệnh nhân ung thư xương
Tuy rằng vẫn chưa tìm ra nguyên nhân cụ thể gây ung thư xương, nhưng các bác sĩ đã tìm thấy một số yếu tố có liên quan đến việc tăng nguy cơ, bao gồm:
- Hội chứng di truyền: Một số hội chứng di truyền hiếm gặp làm tăng nguy cơ ung thư xương, bao gồm hội chứng Li-Fraumeni và u nguyên bào võng mạc di truyền.
- Bệnh Paget xương: Thường xảy ra nhiều nhất ở người lớn tuổi. Bệnh này có thể làm tăng nguy cơ ung thư xương phát triển sau này.
- Xạ trị ung thư: Tiếp xúc với mức liều lượng phóng xạ lớn, chẳng hạn như liều lượng được sử dụng trong quá trình xạ trị ung thư, làm tăng nguy cơ ung thư xương trong tương lai.

Xạ trị là một trong các yếu tố tác động đến thời gian sống của bệnh nhân ung thư xương
7 Phương pháp điều trị bệnh ung thư xương
Các phương pháp chính để điều trị ung thư xương là:
- Phẫu thuật ung thư xương.
- Xạ trị ung thư xương.
- Hóa trị ung thư xương.
- Liệu pháp nhắm đích và các loại thuốc khác cho bệnh ung thư xương.
Thông thường, nhiều hơn một phương pháp điều trị được sử dụng cho bệnh ung thư xương. Kế hoạch điều trị của bạn sẽ phụ thuộc vào loại ung thư xương, vị trí xương bắt đầu xuất hiện ung thư, giai đoạn bệnh và các yếu tố khác.

Hóa trị là một trong các phương pháp điều trị ung thư xương
8 Khi nào cần gặp bác sĩ?
Các dấu hiệu cần gặp bác sĩ
Bạn nên hẹn gặp bác sĩ nếu bạn hoặc người thân trong gia đình bị đau xương kèm theo các đặc điểm dưới đây:
- Triệu chứng lúc xuất hiện lúc không.
- Tình trạng bệnh trở nên tồi tệ hơn vào ban đêm.
- Tình trạng bệnh không cải thiện dù đã dùng thuốc giảm đau không kê đơn.

Tình trạng bệnh không cải thiện dù đã dùng thuốc giảm đau không kê đơn
Chẩn đoán
Nếu bạn đang bị đau xương, bác sĩ sẽ thăm khám các triệu chứng của bạn và kiểm tra khu vực bị ảnh hưởng trước khi quyết định xem bạn có cần thực hiện thêm bất kỳ xét nghiệm nào hay không.
Họ sẽ tìm bất kỳ vết sưng hoặc khối u nào và hỏi xem bạn có gặp khó khăn khi di chuyển vùng bị ảnh hưởng không. Họ cũng có thể hỏi về loại cơn đau mà bạn trải qua, đau liên tục hay đến rồi đi và liệu có điều gì làm cho cơn đau tồi tệ hơn không.
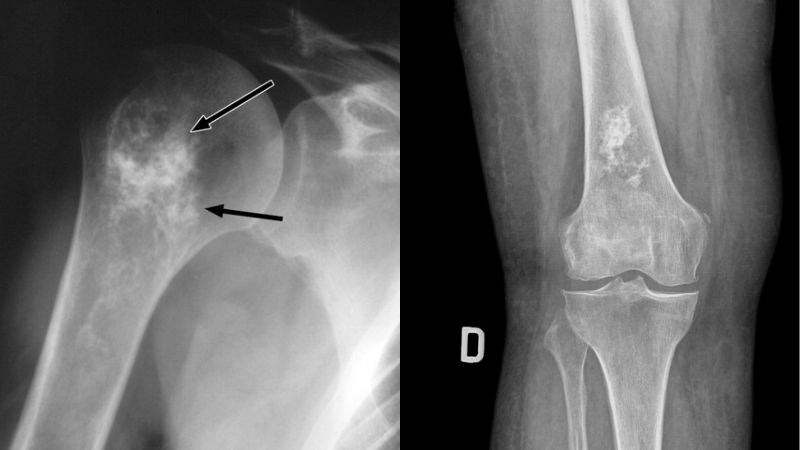
Sau khi được kiểm tra, bạn có thể được đề nghị chụp X-quang vùng bị ảnh hưởng để tìm kiếm bất kỳ vấn đề nào trong xương.
Nếu X-quang cho thấy những vùng bất thường, bạn sẽ được giới thiệu đến bác sĩ phẫu thuật chỉnh hình (chuyên gia về xương) hoặc chuyên gia ung thư xương để đánh giá thêm.

Chụp X-quang nhằm chẩn đoán ung thư xương
Các bệnh viện uy tín
Nếu bản thân, gia đình và bạn bè gặp phải tình trạng ung thư xương hoặc cần nhận được sự tư vấn chuyên môn từ bác sĩ, bạn có thể đến Khoa Cơ Xương Khớp của một số bệnh viện uy tín sau:
- TP.HCM: Bệnh viện Chợ Rẫy, Bệnh viện Đại học Y dược TP.HCM, Bệnh viện Nhân dân 115,...
- Hà Nội: Bệnh viện Bạch Mai, Bệnh viện Ung bướu Hà Nội, Bệnh viện K,...
Xem thêm:
- 5 dấu hiệu ung thư thanh quản thường thấy giúp bạn nhận biết bệnh sớm.
- 9 dấu hiệu ung thư đại tràng giai đoạn 1 bạn không nên chủ quan.
Bài viết trên đã thông tin cho bạn về ung thư xương, các giai đoạn của bệnh, tỷ lệ sống sót và các lựa chọn điều trị. Nếu bạn thấy hay và hữu ích, đừng quên chia sẻ cho bạn bè và người thân cùng biết nhé!
Bạn đang xem bài viết Người mắc bệnh ung thư xương sống được bao lâu? tại chuyên mục Khỏe của Gia Đình Mới, tạp chí chuyên ngành phổ biến kiến thức, kỹ năng sống nhằm xây dựng nếp sống gia đình văn minh, tiến bộ, vì bình đẳng giới. Tạp chí thuộc Viện Nghiên cứu Giới và Phát triển (Liên Hiệp Các Hội Khoa học Kỹ thuật Việt Nam), hoạt động theo giấy phép 292/GP-BTTTT. Bài viết cộng tác về các lĩnh vực phụ nữ, bình đẳng giới, sức khỏe, gia đình gửi về hòm thư: [email protected].











